
問題51
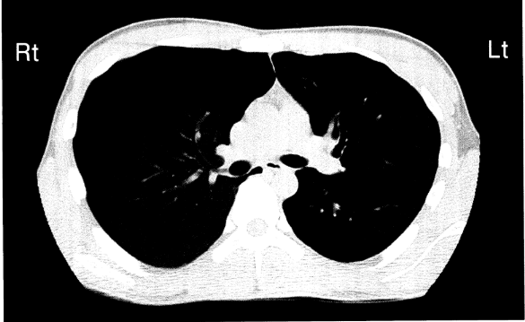
A さん(27歳 男性) は、 突然の胸痛と呼吸困難があり、 救急外来を受診した。意識は清明。身長179cm、体重63kg、 胸郭は扁平である。 20歳から1日50本の喫煙をしている。 バイタルサインは、 体温36.1°C、 呼吸数22/分、 経皮的動脈血酸素飽和度 (SpO2) 96% (room air) である。胸部CTを以下に示す。
Aさんの所見から考えられるのはどれか。
1. 酸素吸入が必要である。
2. 抗菌薬投与が必要である。
3. 右肺野の呼吸音は減弱している
4. 左胸腔内は液体成分で占められている。
解答(クリック)
正答:3
解説:
◆胸部CT画像の評価
・画像を見ると、右側(Rt)において肺の虚脱を示唆する所見が認められる。
・右肺の虚脱(無気肺)または気胸が疑われる。
・特に、若年・痩せ型・喫煙歴があることから、自然気胸の可能性が高い。
◆臨床背景の評価
・27歳・男性・身長179cm・体重63kg → 痩せ型
・1日50本の喫煙歴 → 気腫性変化のリスクあり
・突然の胸痛・呼吸困難 → 自然気胸の典型的な症状
・SpO2 96% (room air) で安定 → 低酸素状態には至っていない1. 解答:酸素吸入が必要である。(→不正解)SpO2が96%と維持されており、酸素吸入は必須ではない。ただし、大きな気胸であれば酸素投与が推奨される場合もある。
2. 解答:抗菌薬投与が必要である。(→不正解)感染徴候(発熱・白血球増加など)がなく、細菌性肺炎などの感染症は示唆されない。
3. 解答:右肺野の呼吸音は減弱している(→正解)気胸がある場合、気体が胸腔内に貯留し、肺が虚脱するため、患側の呼吸音は減弱する。画像所見と臨床症状からも、右肺の虚脱が示唆される。
4. 解答:左胸腔内は液体成分で占められている。(→不正解)胸水貯留(液体成分)の所見はない。画像では、左側(Lt)に特に液体の貯留を示唆する白い陰影は認められない。
解説:
◆胸部CT画像の評価
・画像を見ると、右側(Rt)において肺の虚脱を示唆する所見が認められる。
・右肺の虚脱(無気肺)または気胸が疑われる。
・特に、若年・痩せ型・喫煙歴があることから、自然気胸の可能性が高い。
◆臨床背景の評価
・27歳・男性・身長179cm・体重63kg → 痩せ型
・1日50本の喫煙歴 → 気腫性変化のリスクあり
・突然の胸痛・呼吸困難 → 自然気胸の典型的な症状
・SpO2 96% (room air) で安定 → 低酸素状態には至っていない1. 解答:酸素吸入が必要である。(→不正解)SpO2が96%と維持されており、酸素吸入は必須ではない。ただし、大きな気胸であれば酸素投与が推奨される場合もある。
2. 解答:抗菌薬投与が必要である。(→不正解)感染徴候(発熱・白血球増加など)がなく、細菌性肺炎などの感染症は示唆されない。
3. 解答:右肺野の呼吸音は減弱している(→正解)気胸がある場合、気体が胸腔内に貯留し、肺が虚脱するため、患側の呼吸音は減弱する。画像所見と臨床症状からも、右肺の虚脱が示唆される。
4. 解答:左胸腔内は液体成分で占められている。(→不正解)胸水貯留(液体成分)の所見はない。画像では、左側(Lt)に特に液体の貯留を示唆する白い陰影は認められない。
◆過去問&解説集はこちら(試験対策用)
◆Amazonギフト券5000円分が当たる!最新の予想問題と解答速報
◆あなたの就職先・職場はブラック?最新の口コミをチェック






